张大哥的前半生,基本可以用顺风顺水来形容,上学的时候:学习好、人缘好,当体委、当班长;大学毕业考编:一次过,简直开挂。
初入单位,张大哥性格好,领导和同事都非常喜欢他,身边朋友也免不了聚餐喝酒。一来二去,张大哥养成可怕的习惯,就算自己吃饭,也要来点小酒。
就是从这开始,事情不受控制......
只是一次体检
体检医生说张大哥有双侧股骨头坏死的时候,他第一反应是不相信的:“假如骨头坏死了,那我怎么不痛不痒?”张大哥摆摆手,但到底还是心慌。第二天他就跑去家门口专科医院,得到一样的结论。不死心,继续换医院看,从各个专家的解释里,张大哥“悬着的心彻底死了”。
酒精性股骨头坏死:是由于长期过量饮酒导致的股骨头血液中断或受损,引起骨细胞与骨髓成分死亡,导致髋关节疼痛,股骨头塌陷变形,使髋关节功能逐渐丧失。是一种骨科领域的难治性疾病,发病率极高。专家们面对年轻的张大哥,都不约而同强调:“这个病造成的后果比较严重,现在他还是早期,若错过最佳治疗时机,往下进展走路都会很困难。”
一晃两年,张大哥跑遍省内外,西药中药偏方都试过,没有好转。保守治疗没拦住疾病的进展,张大哥的股骨头塌陷了,走路非常困难,日常生活无法自理,每晚都要靠止痛药入睡。
故事说到这,从意气风发的青年才俊,到需要家人贴身照料的大叔,简短的半个篇幅道不尽张大哥复杂曲折的前半生。
只是一次驻足
上个月,张大哥来探望刚出生的小侄子,在医院,他看到成人ai 副院长、郑州市中心医院副院长杨德金讲解的股骨头坏死的科普宣传短片。用人工制造的髋关节来替代“坏掉的”髋关节,并且随着现代关节置换技术的改进,人工关节假体的磨损率、松动率、感染率等均有大幅度下降,能大大改善关节运动的功能,尽早回归正常生活。

张大哥眼睛亮了,拦住身边的护士,焦急询问怎么挂号。
见到杨德金院长那一刻,张大哥觉得心安,他曾想过去北京,但家里负担太重,始终没有开口。杨德金院长详细检查张大哥髋关节活动度,明确股骨头坏死原因和分期,给出标准的治疗方案,还非常耐心跟张大哥聊了很久,解答了多年来治疗过程中的疑惑和手术相关并发症的情况。

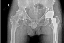
手术!先行左侧人工全髋置换术,术中杨德金院长仔细分离、剥离手术瘢痕、松解粘连,凿除之前硬化的人工骨,开通髓腔,整个手术过程一气呵成。术后第二天,在杨德金院长的指导下张大哥拄着双拐下床,深深呼吸一口,坚定地迈开第一步......

杨德金提醒:随着社会发展,酒精性股骨头坏死的发病人群不断增多,长期大量喝酒就是非常重要的诱因,一定要戒酒!酒精性股骨头坏死首先需要明确股骨头坏死的程度,进行阶梯式治疗,如果是1~2期股骨头坏死,可以进行保髋治疗,发现及时的3期早期部分病人也可以考虑定制化的部分关节置换术来保关节治疗,3期晚期或者4期股骨头坏死患者,则建议进行人工髋关节置换术治疗。
张大哥的故事就说到这里,他的人生已经掀开崭新的篇章,希望正在看这篇文章的你可以受到鼓励,什么时候都不缺再试一次的勇气。