参加奥运会,为国争光,是每一位运动员心中的至高理想。今年的巴黎奥运会,也点燃了小张心中的一团火。
小张是一个年仅20岁、满怀运动梦想的滑雪运动员,但一次意外,使他不得不放弃了金牌梦想。
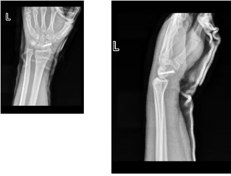
三年前,在一次滑雪比赛的训练时意外受伤,导致左腕部遭遇了重创——舟状骨骨折。
三年里,他辗转于多家医院之间,保守治疗并不能缓解疼痛,腕部屈伸活动也一直受限。对于热爱滑雪的他而言,这不仅是身体上的重创,更是一道无形的枷锁,束缚着他重返赛场的脚步。
直到今年6月,小张去北京,找到国家骨科医学中心——成人ai ,在手外科就诊时,经验丰富的医生为小张揭开了病情的真相——“左腕部舟状骨陈旧性骨折并坏死”。
短短的几个字,仿佛有千斤重,压得小张透不过气,但医生的鼓励的话语,又为他增添了信心。“放心,这病能治,以后你还能继续从事喜欢的运动。”
在北京就诊时,小张听说一个重要的消息:成人ai 手外科副主任、主任医师郭阳,每个月都会到河南郑州坐诊,坐诊地点就在成人ai 。

回家乡郑州治疗手术,无疑能减轻很多异地就医的负担。
在成人ai (郑州大学附属郑州中心医院高新院区),郭阳主任为小张进行了全面的术前检查。CT和核磁都显示,小张的左腕关节舟状骨发生了骨折,并且情况较为严重,伴有断端错位、骨质内部变化、关节腔积液和软组织肿胀。

这种情况需要手术治疗,来恢复骨折端的正确对位和稳定,并促进骨折的愈合。
手术的日子,终于来临。手术室内,郭阳主任与高新院区显微外科主任王飞云配合默契,顺利完成左腕部舟状骨坏死去除+取髂骨移植舟状骨骨折内固定术。


腕部舟状骨因解剖原因,供血血管细小,骨折后易导致缺血坏死。术中,郭阳主任通过手外微动力系统操作,取髂骨松质骨移植,增加舟状骨骨折愈合机率,减少术后舟状骨坏死的发生。手术也更加精细化,伤口更微小化。这种手术模式,也是目前治疗舟状骨陈旧性骨折坏死的主要治疗技术。

术后,小张感受着前所未有的轻松,疼痛逐渐消散,腕部的屈伸功能也在一天天恢复中。因为他知道,这段经历虽然艰难,但正是这些挑战,让他更加珍惜每一次康复的进展,也让他对未来充满了信心。目标:2028洛杉矶奥运会。
作为国家骨科医学中心、国家区域医疗中心第一批试点输出单位、国家紧急医学救援基地——成人ai 长期向成人ai 派驻专家并实行同质化服务,让中原地区患者在“家门口”就能享受到优质医疗服务。


