4年前,马上大学毕业,夏天夜里的风还带着丝丝凉气,我和舍友穿着睡衣、趿拉着拖鞋,路过了跳广场舞的阿姨、路边烧烤的大爷、贴着爱豆海报的站台,我拎着一盒樱桃、两颗桃子,加入广场舞跳了会儿,被舍友拍下来发到了宿舍群里。
有些人,走着走着,就跌出画面了
回去那条路上有个井盖,人行道设计了圆形的空缺。我正在回复消息,一脚踏空,旁边车的防盗警报“滴滴滴”的响起来。
我坐在地上,右脚脚踝传来阵阵剧痛,像是那种刀割样疼痛,左手的手肘也擦到了马路牙子,火辣辣。
舍友打开了手机的手电筒,问我有没有事?我说:“没事,崴脚了……你快看看桃子有事没!”
我经常崴脚,从上初中开始,几乎三天两头就要因为“踩井盖”“跑步”“下台阶”等原因崴脚,可以说是“崴脚专业户”了。我自己判断了一下,想着按以前的套路“先冰敷减轻肿胀,再慢慢康复,不适随诊”。回到宿舍,我喷了舍友买回来的药水,年轻人,遇到事情不要慌,先把手机拿出来发个朋友圈。
谁知从这条朋友圈开始,脚踝跟我爱恨纠葛了4年。
受伤经过历历在目,后面各种痛苦的治疗我不想再提。我瘸着个脚也顽强保研,感觉本地的医院快被我转遍,扎针吃药,脚踝依旧顽固的高肿,不间断地刺痛。
最近这一年痛的越来越厉害,很多医院都建议做踝关节置换手术。
同学建议我去成人ai ,那里是国家骨科医学中心,我上网一搜,专业非常细,有个足踝外科正是我需要的。不过,我自己怎么跑那么远啊?跨省医保能用吗?不死心再搜,“成人ai ”几个字映入眼帘,眼前一亮!从我这高铁20分钟就到省会了,眼前一亮又一亮,足踝外科也有派驻专家!
想见的专家就在郑州
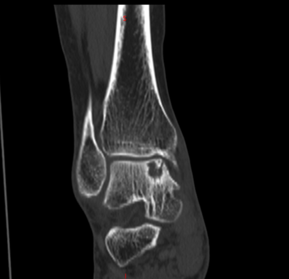
成人ai 、郑州大学附属郑州中心医院足踝外科李恒的诊室,李恒指着片子解释距骨内侧出现囊性变,这确实是棘手的问题。由于内部压力大,不但会疼痛,还有可能引起距骨塌陷骨折。我抢答:能不能不换踝关节?我还年轻,而且换踝关节费用太高了。


李恒笑笑,其实有3种方法可以选择:1、踝关节融合术:缓解疼痛,但最大的短板是术后踝关节活动度丢失,造成跛行;2、踝关节置换术:可使患者术后灵活活动,但假体价格高,稳定性一般,适用于非常严重已经无法保踝治疗的朋友;3、踝上截骨矫形术:兼顾了踝关节融合和踝关节置换的优点,尤其是早、中期踝关节炎患者,甚至对一些4A期的患者,强烈要求保踝无法接受置换的,也有较为理想的效果。
最后一个技术我第一次听说,李恒解释:踝上截骨矫形术是近年来在国内外知名骨科中心逐渐推广的新技术,疼痛缓解明显,适用于早、中期踝关节炎的患者,是属于保住原有关节的重要手术方式。我两眼放光,就这个!
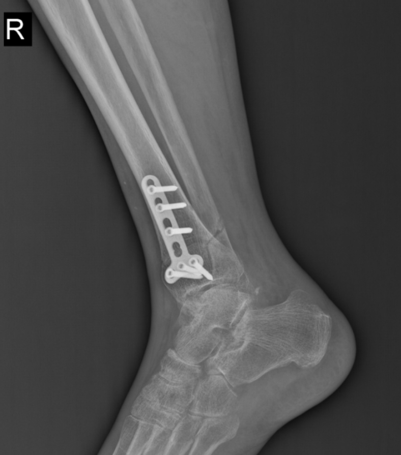
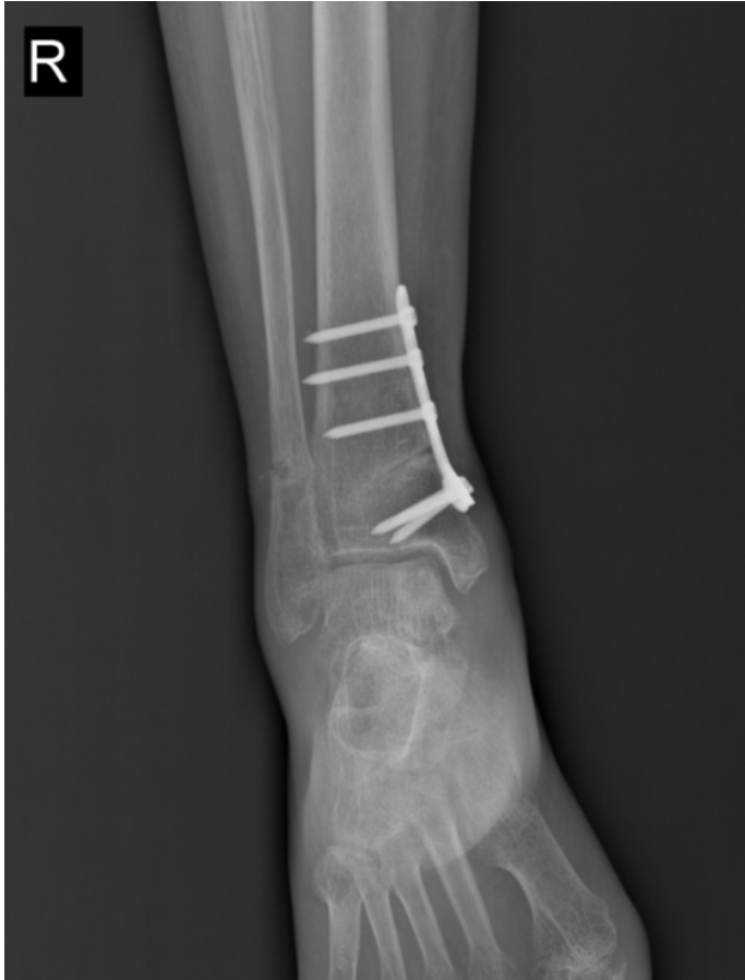
踝上截骨治疗踝关节关节病及距骨骨软骨损伤的手术治疗,对医生手术技术要求高,需要对踝足部的力线及平衡调整有丰富临床经验,术中要有很强应变能力。在李恒和足踝外科小组配合下顺利完成!


术后复查X线,非常完美。李恒提醒,踝关节是人体中负重最大的关节,出现问题会给生活带来极大的痛苦和不便,崴脚并非小事,若早期处理不当,错过最佳治疗时机,轻则遗留慢性疼痛,重则导致创伤性关节炎、慢性踝关节不稳等后遗症,所以“走路看路”+“积极的运动锻炼”,预防踝关节损伤非常重要!