日常生活中你见过这种人吗?头是凹陷的,仔细观察还可看到搏动,触摸时很柔软,感觉像是摸着了大脑!!!没错医学上把这种情况称之为颅骨缺损,这可是我们的“头”等大事。
3个月前,36岁的张先生在外地出差,晚上回酒店休息的时候,突然晕倒。被同事送往当地医院,
经过检查,确诊为颅内动脉瘤破裂出血。为了保命,急诊行开颅动脉瘤夹闭术,术中由于脑组织肿胀严重,实行去除骨瓣减压……命,保住了!但是颅骨少了一块儿,“凹”下去一个“大坑”。


颅骨缺损患者,术前大多病情较危重,甚至脑疝已形成,处于濒死边缘。术中为了尽可能挽救患者生命而做出不得已的选择——去除骨瓣。从而降低颅内压力,为患者争取更多的生存机会。
在家人的细心照料下,经过几个月的康复训练,张先生生活基本自理。但他睡觉时不敢侧躺,恐怕压着脑子,话也变少了,更不愿出门……原来他有两大压力。我现在已经不适合原来的工作,家里的经济来源断了!妻子全职照顾两个孩子,现在还得照顾我,我真是没用!头部凹下去这么大一个坑,别人看见了指指点点,像看怪物一样!脑子没有颅骨保护,万一摔倒,伤到脑组织怎么办?
夜深人静时,张先生向妻子吐露了心声为了帮助张先生重拾自信。妻子想到,先帮爱人修补缺损的颅骨。夫妻俩找到了成人ai 、郑州大学附属郑州中心医院神经外科副主任医师王昊天。颅骨是人体最为坚硬的骨头之一,是脑组织重要的保护屏障。如果颅骨发生缺损,那会对生命健康造成不良影响,所以需要及时进行颅骨修复手术。
王昊天查看了张先生的病历,仔细查体后认为,他可以进行颅骨修复。张先生一听能修复颅骨
松了一口气,接下来他将面临,选择材料的问题。
钛网
优点:价格便宜,术后皮下积液的可能性较小
缺点:导热性高、隔热性能差,金属材料会影响以后做各种医学检查
聚醚醚酮材料
优点:高度还原颅骨解剖结构,在弹性、坚硬度、稳定性等方面都和自体颅骨性能相当
缺点:价格略高,皮下积液的可能性较大

经过详细了解后,张先生爱人选择了聚醚醚酮材料,入院后完善相关检查,经过颅骨CT重建
王昊天了解了张先生颅骨缺损情况,术前64排CT重建颅骨。

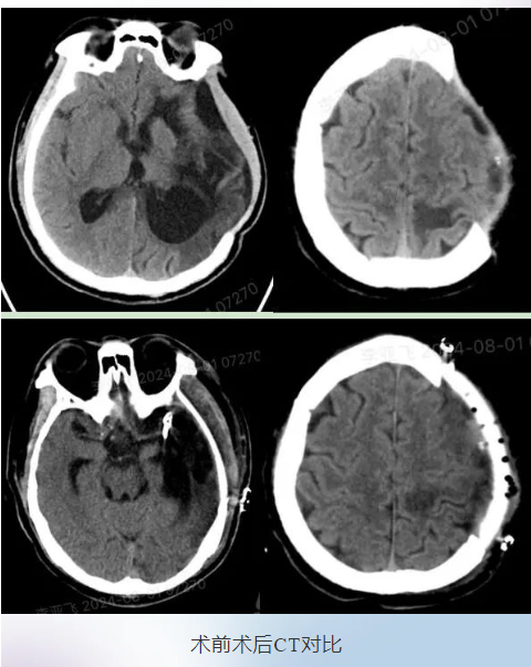
经过数字化建模,依据颅骨缺损的尺寸,神经外科团队定制出了详细的修补方案。最终依据团队讨论结果定制修补材料,无菌消毒后,副主任医师王昊天和医师李亚飞顺利为张先生完成重建颅骨手术治疗。

手术过程顺利,术后复查CT。修补材料与骨窗贴合紧密,外观与对侧基本对称且无皮下积液等问题。经过医护人员精心治疗及心理疏导,张先生照着镜子,摸着自己的头,再也不是一个大“坑”了,他露出了满意的笑容。



王昊天告诉我们,颅骨修补不仅仅是为了美观,更是为了保护脑组织防止脑损伤,通常在颅骨缺损3-6个月后可进行修补。及时施行颅骨缺损修补具有以下优点:
1.尽快恢复颅腔原有形态有利于恢复正常的颅内压及脑生理功能。
2.防止脑组织移位。防止脑组织移位对脑血管的牵拉、扭曲, 引起脑组织缺血、坏死,降低脑血管供血区脑神经功能障碍。
3.尽早恢复颅骨外形。缓解或消除因颅骨缺损而引起的头痛、头晕、记忆力减退等及心理恐惧。
4.防止脑脊液循环障碍。防止脑组织移位而导致脑脊液循环障碍,诱发缺损对侧或纵裂硬脑膜下积液。