10月21日,周一。妈妈带着可乐到成人ai 、郑州大学附属郑州中心医院
复查,看到可乐右膝盖正常弯曲、伸直,可乐妈妈悬着的心终于落了下来。
可乐怎么受伤的?你肯定猜不到!
网络上有个梗,你不仅听说过,肯定还用过,然而真的有一款娱乐设施,可以让你一秒上天
,感受“空中飞人”的刺激,那就是——蹦床。
作为超火的网红娱乐设施,天性活泼好动的小朋友,怎会放过?
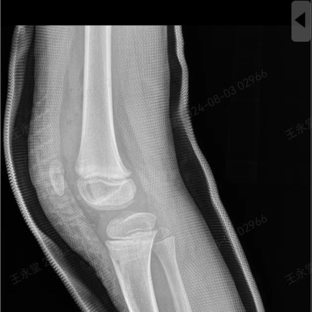
看着孩子开心,爸妈也愿意花钱,但是这项“飞起来”的娱乐项目,背后却暗藏危险。一天,妈妈带5岁的可乐来到了游乐场,想着趁开学前让他好好玩一回。进了蹦床馆,可乐兴奋不已,起跳、弹起、落下……玩得不亦乐乎。可乐用尽全身力气向上蹦,希望能跳得高一点,谁知,落下的时候没把握好平衡……狠狠摔下后双膝着地!他疼得哇哇大哭。妈妈跑去一看,可乐膝盖又红又肿,不能动弹。立刻带他到医院就诊,X线显示膝关节没有骨折,妈妈认为有惊无险,休息几天就好了。
随着可乐一天天长大,妈妈发现他的膝盖和别的孩子不一样,双侧髌骨(俗称:膝盖骨)逐渐向外侧偏斜,勉强能正常走路,但是屈伸膝关节时,膝盖的畸形越来越重,尤其是在跑步运动时,总感觉腿不听使唤,剧烈运动时膝盖就疼,而且特别容易摔跤,久而久之,原本活泼的可乐,也不愿出去运动了。

每逢节假日,别的孩子开心地出去旅游,可乐妈妈却带着他四处求医,专家们给的意见却不统一
建议A:孩子还小,过早手术可能会破坏软骨,影响孩子膝关节生长发育。
建议B:尽早手术,让脱位的髌骨回到正常的解剖位置,以利于关节的生长发育。
面对不同的意见,可乐妈妈陷入深深的焦虑,担心自己贸然的决定,将影响孩子的一生
这一拖就是4年,看着儿子的双侧髌骨已完全脱位,可乐妈妈彻夜难眠,一天邻居无意中告诉她
成人ai 揭牌成立了,小儿骨科闫桂森主任是治疗儿童髌骨脱位的专家,可乐妈妈重新燃起了治疗的希望,儿子的病不能再拖了,经过96595预约,可乐在专家门诊,见到了闫桂森主任。

闫桂森主任细查体,发现可乐的双侧膝关节发育畸形,髌骨滑车发育不良,建议尽快手术治疗,让髌骨重回正常位置,促进关节生长发育,如果再拖,膝关节发育进一步畸形,将会影响关节功能!
今年7月,可乐办理了住院,两日之后顺利为他进行了经典的髌骨脱位
“四合一”手术 ,即:外侧支持带关节囊及骼胫束松解术、内侧关节囊紧缩术、髌韧带成形止点内移、股内侧肌成形髌骨加强术、下肢肌腱粘连松解术、石膏外固定术。



术后治疗效果良好,可乐的髌骨重回到了正常的位置……

千万别以为这只是个例,网上一搜索“蹦床受伤”,竟出现40多万条相关信息。为什么蹦床会不安全呢?因为蹦床的床面虽然是有弹性、柔软的,但是人在蹦床上弹跳的力量是非常大的,所以如果落地姿势不当,骨折的机率是很大的。闫桂森主任提醒,孩子处于生长变化过程中,任何损伤留下的隐患,都可能随着育逐渐加重,所以要防微杜渐早发现、早治疗!