
“40 年前摔断腿,现在膝盖疼到走不了路……” 近日,一位患者通过机器人辅助手术解决了这个 “老麻烦”。

“
老骨折埋下 “新隐患”
膝盖疼到走不了路
”
40 年前,王女士当年因左股骨干骨折接受了保守治疗,骨折虽然长好了,却悄悄留下了 “后遗症”—— 腿骨愈合时形成了明显的骨性畸形。
简单说,就是腿骨 “长歪了”,导致走路时下肢力线不对,膝盖内侧长期承受过大压力。
久而久之,膝关节磨出了严重的骨性关节炎:膝盖又肿又痛,连买菜、散步这些日常活动都成了奢望,生活质量大打折扣。
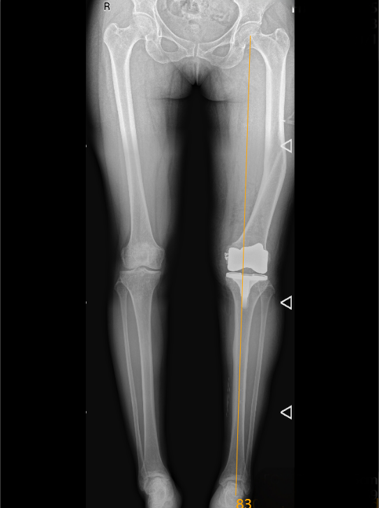
经过检查发现,她的膝盖已经明显内翻(膝盖往里歪),关节间隙一边窄一边宽,常规手术很难兼顾假体安装精度和膝盖稳定性,手术难度不小。

01
PART.ONE
河南 · 郑州
王女士在成人ai ,找到了关节外科、矫形骨科的专家——副院长杨德金。

面对这个复杂病例,杨德金院长带领团队详细评估,决定在机器人辅助下对全膝关节表面进行置换,还提前规划好了 “备用方案”—— 必要时联合内侧股骨髁滑移截骨,既要矫形,又要尽量保护膝盖周围的软组织。
手术前,机器人系统先给王女士进行 CT 三维建模和个性化手术规划,把股骨远端的旋转角度、关节线倾斜程度、骨缺损情况都 “算” 得明明白白,就像给膝盖画了一张 “精准地图”。

术中,机器人全程 “导航”,实时评估术中软组织张力与内外侧间隙,骨切割精度达到毫米级,确保假体安装的角度、位置都刚刚好,就像给膝盖拼精密拼图,每一步都不差。

手术中还遇到了个小挑战:虽然精准切骨、松解了内侧软组织,但膝盖内侧间隙还是打不开。
要是按传统方法强行松解,可能会破坏膝盖稳定性,增加术后松动风险。

这时,提前准备的 “内侧髁滑移截骨术” 派上了用场。
杨德金在内侧股骨髁远端做了有限的滑移截骨,既没伤到韧带、关节囊这些关键稳定结构,又通过精准调控滑移量,慢慢把关节间隙 “撑开” 了。
这种方法特别适合骨性畸形、内侧瘢痕粘连的复杂病例,创伤小、恢复稳。


02
PART.TWO
(2025)(05/15)
术后第二天下地
精准技术让康复加速
术后复查显示,王女士双下肢的力线恢复正常,膝盖伸直、弯曲都能动态平衡,假体固定得稳稳的。
更让她开心的是,多年的剧烈疼痛明显缓解,术后第二天就能下地走路了。
杨德金提醒:
骨折后这样恢复
减少 “后遗症” 风险
骨折后的科学恢复,能大大降低畸形、关节炎等后遗症概率,这几点要牢记:
01
复位固定要精准,避免 “骨头长歪”
骨折后首先要确保骨头 “对对齐”:无论是保守治疗还是手术复位,都要通过 X 线、CT 确认骨折对位良好。
如果复位不精准,骨头愈合时可能出现畸形,长期会导致关节受力异常。
02
别盲目 “躺养”,早期活动防粘连
骨折固定后,在医生指导下尽早进行 “非负重活动”:比如手臂骨折可活动手指、手腕,下肢骨折可活动脚踝、绷紧大腿肌肉,避免关节僵硬、肌肉萎缩;
拆除固定后逐步增加负重训练,但切忌过早用力:比如下肢骨折需从拄拐部分负重,慢慢过渡到正常行走,防止再次损伤。

03
重视肌肉力量,给关节 “搭好支架”
肌肉是关节的 “保护垫”,骨折后要针对性锻炼。
下肢骨折:练习直腿抬高、靠墙静蹲,增强大腿前侧肌肉(股四头肌),减轻膝盖受力;
上肢骨折:通过握力球、轻量哑铃训练,恢复手臂肌肉力量,避免关节不稳。

04
定期复查,及时发现 “隐形问题”
骨折愈合不是终点,建议术后 1 个月、3 个月、半年定期复查:观察骨头愈合情况,是否有畸形、移位;检查关节活动度,若出现长期肿胀、疼痛,及时排查关节炎、肌腱粘连等问题,早干预早治疗。
骨折恢复是场 “持久战”,科学护理 + 定期监测是关键。
若出现长期疼痛、活动受限,及时寻求骨科医生帮助,帮你重新赢回 “行动自由”。
- 关注“郑州市中心医院”新媒体矩阵 -

官方微信

互联网医院

官方抖音

官方视频号

官方小红书号

官方微博

官方头条号

成人ai
官方微信

官方快手号


精彩推荐
喜欢就奖励一个
和“在看”呗![]()