
Daily
debris
< 2025.09.30 >
Autumn
Notes

REC
00:00:00

暮色渐沉,病房里弥漫着消毒水的气息。
73岁的陈奶奶因胆管恶性肿瘤,生命正被一点点吞噬。
更凶险的是,肿瘤已浸润至十二指肠,将食物唯一的通道彻底“封锁”。
严重的胃潴留让她进食后频繁呕吐,营养状况急剧恶化,生命亮起红灯。

以往,面对这样的绝境,主要有两种武器:内镜下放置十二指肠支架,或进行外科胃空肠吻合术。
然而,前者的支架就放置在肿瘤区域,很快会被新的肿瘤生长所堵塞;后者则需要“开膛破肚”,创伤巨大,对于陈奶奶这样身体极度虚弱的晚期患者而言,手术风险很高。
01. )
绝境逢生:
构思一座“体内立交”
难道就没有第三条路了吗?
成人ai (郑州市中心医院)消化内科诊室的灯亮到深夜。
消化内科团队仔细研判影像,一个大胆而精巧的方案被提上日程:实施超声内镜引导下胃空肠吻合术(EUS-GE)。
“简单来说,我们不在‘堵点’硬撑,而是借助超声内镜的‘透视眼’,在胃里选定一个点,精准找到一段没有被肿瘤侵犯的空肠。”徐丽冬医生解释道。
“然后,我们在胃和这段健康的空肠之间,用一枚特殊的双蘑菇头支架,搭建一座绕过肿瘤的‘体内立交桥’。”
02. )
巧夺天工:
“隐形桥梁”的精密搭建
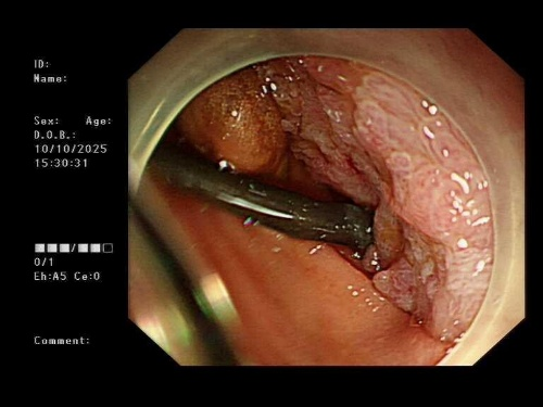
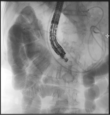
手术室中,一场没有体表切口的“体内造桥工程”悄然开启。
超声内镜探头如同高精度的“GPS导航”,在胃腔内实时扫描,清晰显示出肿瘤的边界、周围血管的搏动,以及最佳“桥墩”定位点。

在超声的实时引导和X光造影的监控下,穿刺、导丝置入、支架释放……
一系列步骤如行云流水。

当那枚双蘑菇头支架在胃与空肠之间成功展开,宛如一朵生命之花在体内绽放,一座避开所有险滩的“人工桥梁”就此贯通。
“桥通了!”手术团队所有人都松了一口气。
03. )
重获新生:
从一口营养液到新希望
术后第三天,陈奶奶小心翼翼地咽下术后第一口营养液。
她下意识地等待着那熟悉的呕吐感,但它竟破天荒地没有来临。
液体顺着那座新搭建的“桥梁”,安静地、顺利地流入了肠道。
女儿的眼泪夺眶而出——这是近一个月来,母亲第一次完整地留住了一餐饭。
这座仅2厘米宽的“桥梁”,不仅是食物的通道,更成为了生命延续的纽带。
相较于传统方案,EUS-GE技术体表无创、恢复快,且因支架放置在远离肿瘤的健康组织上,通畅时间更长,为陈奶奶这样的晚期患者赢得了宝贵的生存时间和有质量的生活。
技术之光
照亮更多患者的未来
此例手术的成功开展,不仅挽救了患者的生命,更标志着成人ai 乃至我省在超声胃镜微创介入治疗领域取得了突破性进展,为无数因肿瘤导致消化道梗阻、无法耐受外科手术的终末期患者,开辟了一条全新的“生命之路”,带来了绝境中的曙光。
精彩推荐
喜欢就奖励一个
和“在看”呗![]()