

Different diseases require
different treatments
同病不同治



最近,成人ai 足踝外科主任武勇带领成人ai (郑州市中心医院)足踝外科团队,完成了3台踝关节关节病手术。
有意思的是,这三位患者都是因为“脚脖子”痛来的,但手术团队根据他们疼了多久、病变范围大小,还有个人身体情况,选了三种不一样的手术方式——这正是踝关节关节病阶梯治疗“规范、标准、微创又个体化”的实在体现。
“脚脖子”痛分轻重,手术方案“一人一策”

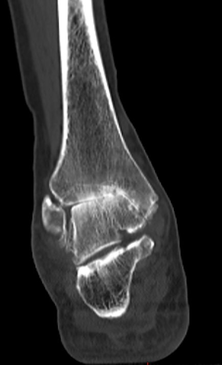
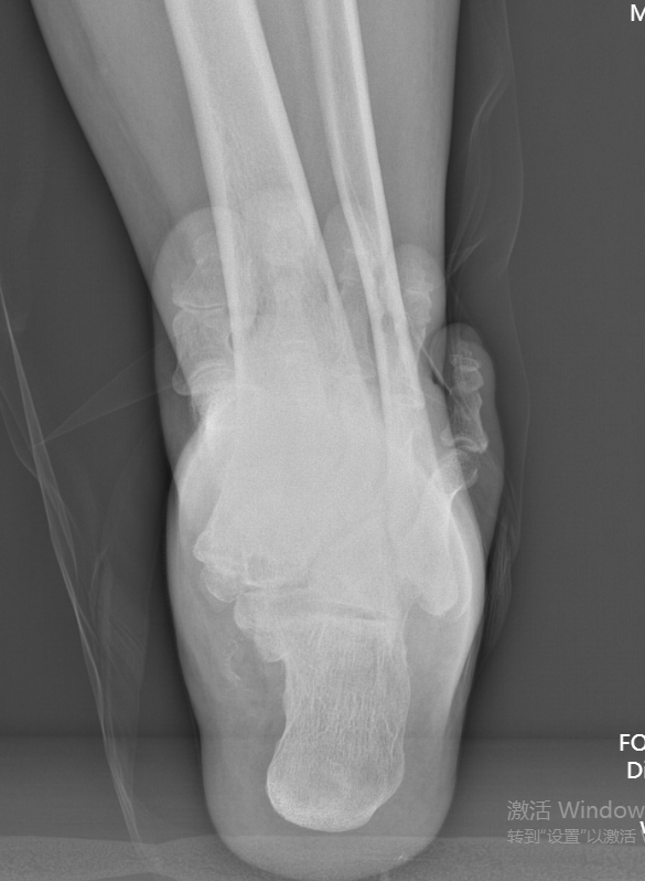
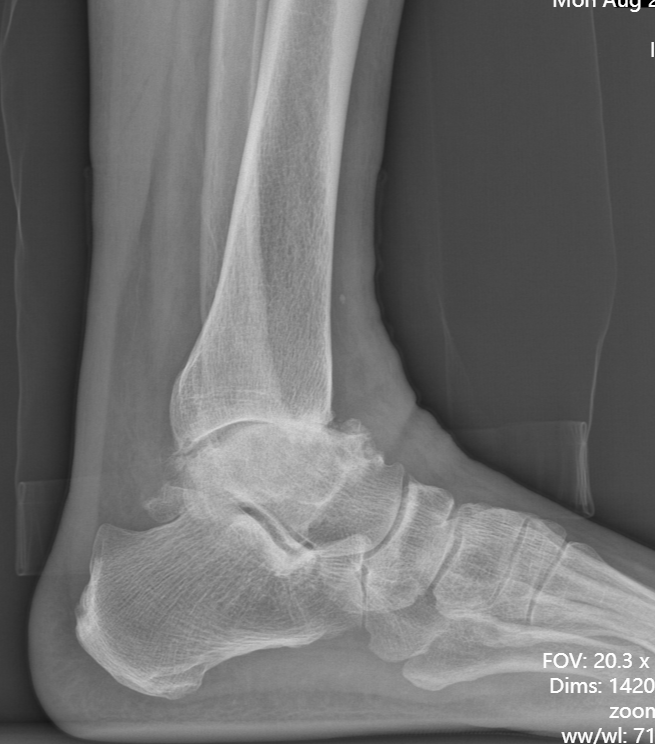
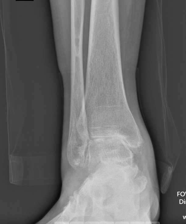
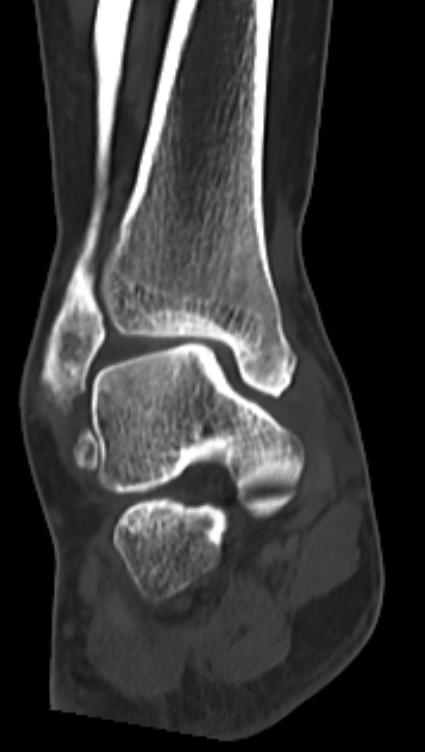
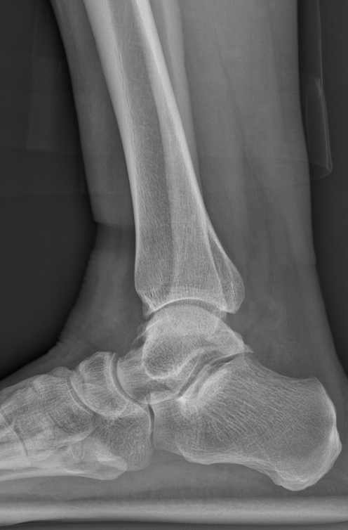
第一台手术的患者是位75岁的叔叔,被“脚脖子”痛缠了4年,疼得越来越厉害,病情已经到了严重阶段。

术前踝关节CT

术前后足力线X线
武勇主任团队给他做了3D打印导板辅助下人工全踝关节置换术。
这种手术适合踝关节病严重的患者,通过替换病变的关节结构,能帮着缓解疼痛、恢复关节活动,让老人日常走路更自在些。

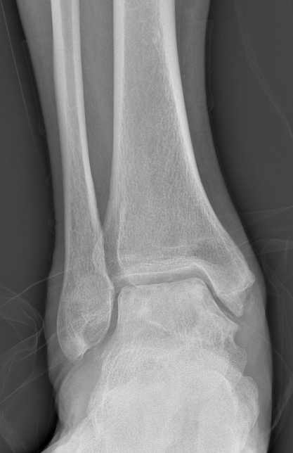
术前踝关节侧位X线

术前踝关节正位X线

术后侧位X线

术后正位X线

第二位是54岁的大哥,“脚脖子”痛了3年,检查发现只有部分距骨出了问题。

术前磁共振

术前CT
针对这种局部病变,团队用了3D打印部分距骨置换术。

术前正位X线

术前侧位X线
这种手术不用大动,只换病变的那部分距骨,尽量保住健康的关节组织,创伤小,术后恢复起来也能快一点。

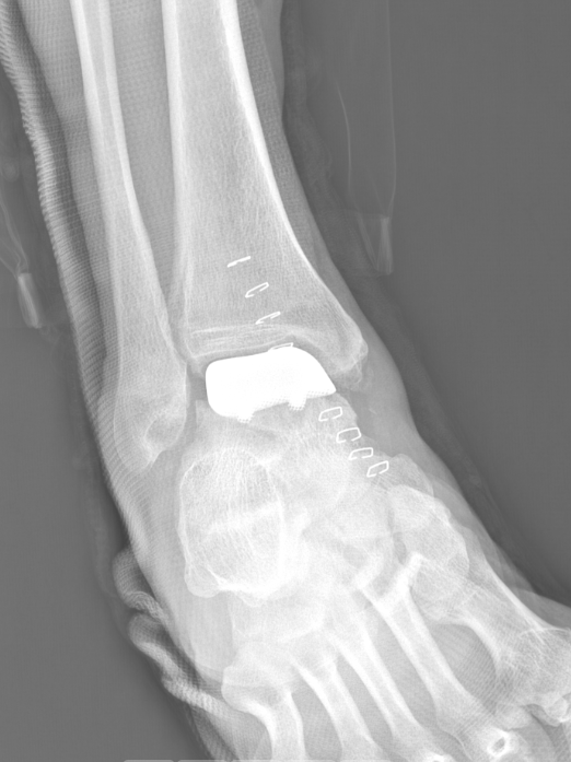
术后侧位X线

术后正位X线
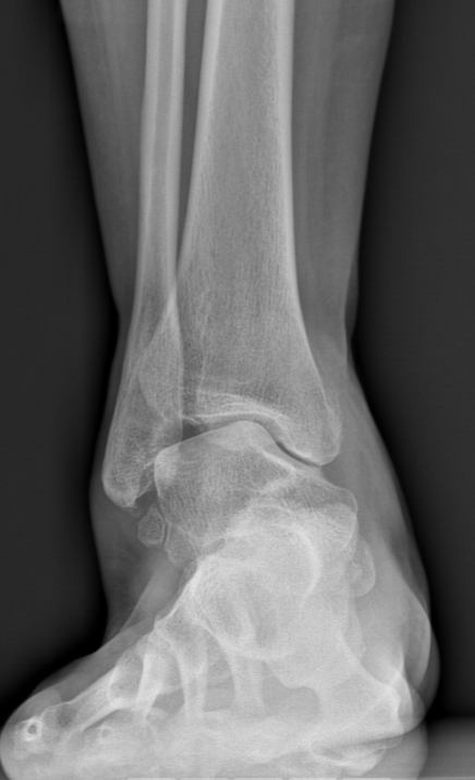
第三位是44岁的大姐,“脚脖子”痛加重了8个月,属于踝关节病中期。

术前磁共振检查

术前CT

术前踝关节侧位X线

术前踝关节正位X线
为了帮她留住自己的踝关节,团队做了踝上截骨术。

术后复查X线

术后复查侧位X线
这种手术通过调整踝关节的受力方向,改善关节负重情况,既能缓解疼痛,还能延缓病情发展,特别适合想保留自身关节的中青年患者。
阶梯治疗的核心:按病情来,不盲目治疗

踝关节关节病的阶梯治疗,简单说就是“病情轻有轻的治法,重了再调整方案”,核心是“按实际需求来”。
就像这次的三台手术:
中期患者先考虑保踝,用截骨术尽量留住自己的关节;
只有局部病变的就做部分置换,微创解决问题;
实在严重的再做全关节置换,帮着重建关节功能——每一步都基于病情,不做多余的治疗。

在成人ai 武勇主任的带领下,成人ai 足踝外科团队严格照着阶梯治疗的规范来,还结合了3D打印这样的技术。
3D打印导板能让手术操作更精准,减少术中创伤、缩短手术时间,也为患者术后恢复打下好基础。
足踝疼痛别硬扛!这些认知误区要避开

生活中不少人出现“脚脖子”痛时,总觉得“忍忍就好”“贴贴膏药就行”,却不知道这些误区可能耽误病情。

成人ai 足踝外科副主任医师李亚峰提醒,足踝疼痛背后原因多样,比如踝关节退变、创伤后遗症、力线异常等,不同病因对应不同治疗方式,盲目处理可能加重损伤。

比如有人把“脚脖子”痛笼统归为“关节炎”,自行用药却不见效——实际上,像前文提到的44岁大姐,因中期关节病适合保踝截骨术;而75岁叔叔因严重关节病变,才需要全踝关节置换。
成人ai (郑州市中心医院)足踝外科副主任医师李亚峰提醒,如果“脚脖子”痛,或出现活动受限、肿胀加重,别硬扛,及时到足踝专科就诊,让医生根据具体情况给出科学治疗建议,才能少走弯路、有效缓解疼痛。


精彩推荐
喜欢就奖励一个
和“在看”呗![]()