
当脑梗发生时
我们的大脑正在经历一场可怕的“干旱”

而急性脑梗死取栓手术
就是一支精准的“抢修队”
其任务是在黄金时间内
快速打通被堵塞的“生命河道”
拯救濒临死亡的脑细胞

52 岁的张女士是大家眼中的 “女强人”
10 年前战胜鼻咽癌
5 年前顺利做完白内障手术
3 年前确诊高血压后也一直规律管理
从未被疾病打垮
可某天早上,她突然说不出话,嘴角不受控制地向一侧歪斜,右侧胳膊和腿也软得抬不起来,甚至渐渐出现嗜睡症状。

“平时家里大小事都是她拿主意,怎么突然就‘变傻’了?” 家人又急又怕,立刻拨打了 120。
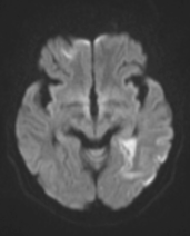
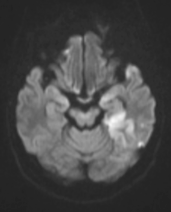
张女士被紧急送往附近医院,头颅磁共振检查明确诊断为急性脑梗死。



医生第一时间为她进行了静脉溶栓治疗 —— 这是脑梗死黄金溶栓时间窗内的常用治疗方式,可治疗后她的症状并没有明显好转。


考虑到病情危急,医院建议立即转院接受取栓治疗,家属毫不犹豫地同意了,随后张女士被转入成人ai (郑州市中心医院)。

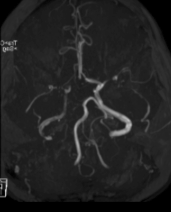
神经介入诊疗中心主任、副主任医师刘俊中接诊后,根据各项检查检验结果迅速判断张女士属于颅内大血管病变。
左侧大脑中动脉和颈内动脉均已闭塞,相当于左侧大脑半球几乎断了供血,手术指征明确。
虽然手术风险较高,但血管开通后患者获益会非常大。
在取得家属充分理解和同意后,医院立即开通卒中绿色通道。
5 分钟后,张女士被推进介入手术室,急诊脑血管造影进一步确认了血管闭塞情况。

10 分钟后,手术顺利完成,堵塞血管成功开通,濒临坏死的脑细胞被及时 “救回”,张女士的病情得到了有效控制。


很多人对取栓手术感到陌生,刘俊中主任用通俗的比喻解释:“大多数脑梗死都是大脑里的大血管被血栓(血块)堵住了。”

“我们的大脑就像身体的总司令部,需要血液持续输送氧气和营养,而大血管就是通往总司令部的‘主干道’,血栓则像一块巨大的‘石头’,把主干道彻底堵死了。”
“主干道” 被堵,下游的脑组织会因为缺血缺氧迅速坏死,对应的手脚活动、说话等功能就会丧失。

而取栓手术,就是医生通过微创的方式,直接把堵在血管里的血栓取出来,快速打通被堵塞的 “生命河道”,拯救濒临死亡的脑细胞。

取栓手术对时间的要求极为苛刻,堪称 “时间就是大脑” 最极致的体现。
脑梗死发病后,每延误 1 分钟,就有 190 万个脑细胞死亡,这些脑细胞一旦坏死就无法再生,所以抢时间就是抢生命。
目前国际公认的取栓最佳时间窗是发病后 6 小时内,在这个时间段内进行手术,治疗效果最好,患者预后也最佳。

部分患者可根据病情延长至 16 甚至 24 小时,但这需要通过更先进的影像学评估(如灌注 CT),筛选出仍有大量可拯救脑组织的患者,绝不能因此心存侥幸延误送医!
快速识别脑梗
记住 “中风 120” 口诀

想要抓住黄金救治时间,首先要能快速识别脑梗症状。
刘俊中主任推荐大家牢记 “中风 120” 口诀,简单好记,关键时刻能救命:
1 ——看 1 张脸
观察脸部是否对称,有没有出现口角歪斜的情况

2 ——查 2 只胳膊
让患者抬起两只胳膊,看是否有单侧手臂无力、下垂的现象

0 (聆)听语言
听患者说话是否清晰,有没有表达困难、说不出话的问题

“只要出现其中任何一种症状,都不能犹豫,必须立即拨打 120!”

拨打急救电话时,一定要明确告诉接线员 “怀疑中风”,这样医院能提前启动绿色通道,为患者节省宝贵的诊疗时间。
取栓手术并非人人适用
需要注意的是,并非所有脑梗患者都适合取栓手术,必须由医生快速评估后决定,主要适用条件包括:
1. 确诊为大血管闭塞,这是取栓手术的核心指征;
2. 发病在时间窗内(常规 6 小时内,或经专业评估可延长);
3. 脑组织核心坏死区不大,仍有大量可挽救的脑组织。
取栓技术是近年来脑梗死治疗领域的革命性突破,让无数原本可能重度残疾甚至死亡的患者重获新生。
但这一切的前提,都离不开 “快速识别、及时送医”。
刘俊中主任呼吁:“脑梗救治没有‘观望期’,一旦发现疑似症状,立刻拨打 120,才能为生命赢得宝贵的时间,让‘抢修队’有机会打通生命通道。”
—END—
供稿:脑血管介入科 刘杨辉


精彩推荐
喜欢就奖励一个
和“在看”呗![]()