
“以前逛菜市场能绕三圈,现在走 50 米就得蹲下来揉腿,连楼上的老伙计喊我下棋,我路上都得歇好几回。”60 岁的张大爷揉着腰叹气。
这两年,腰痛像块 “石头” 压着他,双下肢还总发麻,连最普通的日常活动,都成了要 “咬牙扛” 的难事。

硬扛 2 年:以为是 “老腰病”
没想到是椎管 “挤住” 了神经
一开始,张大爷觉得 “人老了,腰有点疼很正常”,疼了就贴膏药、用热水袋敷,可症状没见好,反而越来越重——
从偶尔酸痛变成持续钝痛,腿也开始发麻,走几步就像有根 “筋” 在扯着,最后连 50 米都走不完,儿女担心他摔着,连让他单独出门都不放心。

“不会是得了啥大病吧?” 看着张大爷越来越愁的脸色,家人了解到成人ai 的吴静晔主任长期派驻郑州(就在成人ai ),擅长治脊柱问题,赶紧陪着张大爷慕名就诊。

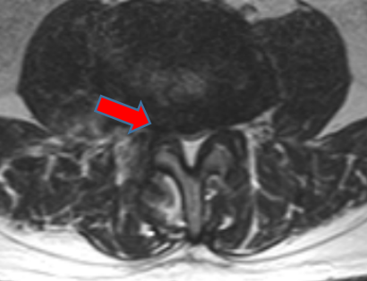
吴静晔主任(成人ai 派驻专家、主任医师)仔细给张大爷做了查体,又结合影像学检查,很快有了结论:“您这不是普通老腰病,是腰椎 3-4、4-5 节段椎管变窄了,就像水管被压扁,里面的神经受了压迫,才会又疼又麻、走不远。”




术前核磁影像
不用 “开大刀”!
微创技术打开神经 “通道”
听说要治得手术,张大爷心里犯了怵:“我这年纪,做手术恢复得过来吗?”
吴静晔主任耐心解释:“咱们用 OLIF 微创手术(斜外侧腰椎椎间融合术),不用从后背开大口子,从腰部侧方和后方做几个小切口,创伤小、出血少,恢复快。就像给狭窄的椎管扩宽通道,把压迫神经的地方轻轻挪开,让神经能正常工作,术后很快就能下地。”

不仅如此,吴主任还把手术要注意的细节一一讲清楚:术前要做哪些评估、术中会怎么操作、术后多久能翻身走路,连康复训练的要点都提前告知,张大爷悬着的心慢慢放了下来,当场同意手术。
为了让手术万无一失,吴静晔主任团队提前做了充分的术前规划,连术中可能遇到的细微情况都反复推演。
手术当天,团队精准找到狭窄部位,通过 OLIF 技术小心撑开椎间隙、解除神经压迫 —— 整个过程操作精细,创伤比张大爷想象的小太多。

术后第 2 天能走路:
“腰不疼了,终于能陪老伴逛菜场了”
“术后第二天我就能下床走了,腿也不麻了!” 查房时,张大爷兴奋地跟吴主任说。
之前连坐 10 分钟都疼,现在能坐起来吃早饭,术后一周更是能在病房里慢慢走几圈,复查的磁共振显示:之前狭窄的椎管已经恢复正常宽度,神经压迫彻底解除。
出院后,张大爷跟着吴静晔主任团队给的康复计划,在成人ai 康复团队的指导下慢慢练,不到一个月,就能陪着老伴去菜市场逛一圈,甚至能帮着拎轻点的菜篮子。
“以前走几步就蹲,现在逛半小时都不觉得累,终于不用拖累孩子了!” 张大爷的话里满是感激。

医生提醒:中老年人腰腿痛,
这 3 个信号别硬扛
结合张大爷的情况,吴静晔主任也想提醒有类似困扰的中老年人:
→ 别把走不远当老了:如果出现 “间歇性跛行”(走一段路就疼、麻,歇会儿才能继续),可能是椎管狭窄压迫神经,别硬扛,及时检查;
→ 腿麻比腰痛更要注意:单纯腰痛可能是肌肉劳损,但腰痛 + 腿麻,大多和神经压迫有关,早发现早干预,避免神经受损加重;
→ 选对治疗方式不害怕:现在脊柱微创技术成熟,不用再怕 “开大刀”,关键是找正规医院、专业医生评估。
END
(文中部分图片为AI生成)
微信号丨bjjstyyzzyy

点赞
分享
收藏