
那一刻
我的头就像被雷劈开了一样
这是几乎所有幸存者
对蛛网膜下腔出血最真切的描述

不久前
一名中年男子因
突发剧烈头痛被送医
检查发现是凶险的
蛛网膜下腔出血
更危急的是
他在住院期间病情急剧恶化
瞬间陷入深度昏迷
被判定为最严重的
5级状态
(濒死状态)
不幸中的万幸
家属是医生
立刻识别患者为高危型患者

在转运途中
患者甚至出现了呼吸心跳骤停
经过紧急抢救心跳恢复
但人仍昏迷不醒
抵达成人ai
(郑州市中心医院)后
脑血管病介入团队立即启动绿色通道

检查发现
“元凶”是大脑椎动脉上
一个形状不规则的“小气球”
——医学上称为“夹层动脉瘤”
它破裂了
血液涌入了大脑表层

手术必须立即进行
医生从他大腿根部的血管
插入一根细小的导管
一路“导航”到大脑深处的病变位置
然后放入一个特殊的
网状支架和数枚柔软的铂金弹簧圈
就像精准地堵住水管上破裂的鼓包
同时用网格加固水管壁
被称为
血流导向装置植入+弹簧圈栓塞术
术后,医疗团队又为他进行了
脑部钻孔引流和腰大池置管引流
简单理解
就是在颅骨上开一个小孔
并放置一根细细的引流管
目的是把大脑周围刺激性的
积血引流出体外
为大脑恢复创造条件
经过31天惊心动魄的抢救与康复
这位曾濒临死亡的患者
最终自己走出了医院
死亡率高达50%
成人ai
(郑州市中心医院)
神经介入诊疗中心主任刘俊中指出:
这是一种极其凶险的疾病
约有35%-50%的患者
在出血后一个月内死亡
其中10%-15%的人
可能来不及到医院
即便活下来
也有部分会遗留不同程度的
神经功能障碍
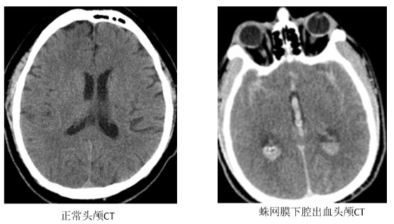
蛛网膜下腔出血是什么?
我们的大脑表面覆盖着三层保护膜,像三明治一样。中间那层薄薄的、像蜘蛛网一样的膜叫“蛛网膜”。
它和紧贴大脑的那层膜之间的空隙,就是“蛛网膜下腔”,里面流淌着营养大脑的脑脊液。

当这个腔隙里突然进了血,就是蛛网膜下腔出血。血液像化学刺激物一样,会引发大脑血管剧烈痉挛和全身强烈反应。

“罪魁祸首”是谁?
80%以上的情况,是大脑血管上的“动脉瘤”破裂了。

你可以把它想象成车胎老化后鼓出的一个包,或者吹起的一个小气球,在高血压、情绪激动等诱因下,这个“气球”爆了,血就直接喷进大脑周围。


哪些人是高危人群?
高血压患者:持续高压是动脉瘤形成和破裂的主要推手。
吸烟者:吸烟会显著增加患病和破裂风险。
过量饮酒者。
有家族史的人:直系亲属中有动脉瘤或蛛网膜下腔出血病史。
某些遗传性疾病患者,如多囊肾病。

身体发出的最强烈警报:记住这个感觉
这种病的症状通常是突然袭击且极其剧烈:
一生中最剧烈的头痛:很多患者形容是“突然爆裂样”、“被棍棒重击后脑”,瞬间达到疼痛顶点。
脖子僵硬、剧痛:感觉脖子像“焊住了”,弯不下去。
恶心呕吐:往往是喷射状的剧烈呕吐。
意识不清:可能迅速陷入嗜睡、糊涂、甚至昏迷。
其他信号:怕光、视物模糊、癫痫发作。

时间就是生命
治疗的核心目标只有一个:
尽快找到并处理掉那个
已经破裂的“炸弹”
防止它二次爆炸
No.1
如何快速诊断?
CT检查:首选,能快速判断大脑周围有没有出血。

腰椎穿刺:如果CT结果不明确,但症状高度怀疑,医生会进行腰穿。若脑脊液为均匀血性,即可确诊。

脑血管造影(DSA):这是确诊并锁定动脉瘤的“金标准”。医生通过它能看到脑血管的清晰三维结构,明确“炸弹”的位置和形态,为手术铺路。

No.2
如何“拆除炸弹”?
血管内介入治疗(栓塞术):
从大腿血管“打隧道”进去,用弹簧圈填塞动脉瘤,或用支架辅助封堵。这是目前的主流微创治疗方法。
目标只有一个:尽快将“定时炸弹”(动脉瘤)处理掉,防止再次破裂(再出血死亡率极高)。
No.3
关键时刻能救命的提醒