成人ai

机器人精准 “拆弹”!京豫专家联手攻克高龄复杂颈椎病手术难题
发布时间:2026-03-12     点击数 1 次     
字号:
A
A 标准



近日,成人ai 脊柱外科执行主任吴静晔(成人ai 脊柱外科专家)、主任王肖虎带领团队,首次将骨科手术机器人(天玑骨科手术机器人)应用于超高难度颈椎手术,成功为一名78岁高龄脊髓型颈椎病患者实施精准治疗



手术突破禁区,为老人卸下病痛枷锁,标志着医院在智能精准脊柱外科领域迈上新台阶,为高龄、复杂脊柱疾病患者带来更安全的治疗新选择。


01

一位特殊的患者


不久前

成人ai

脊柱外科特需门诊

迎来了一位特殊的患者



78岁的老先生被家人小心翼翼地搀扶着走进诊室,面露痛苦之色,右手紧捂胸口,左手拄着拐杖,双腿颤抖不止,连正常行走都十分困难。



老先生双下肢麻木、无力的典型症状,高度符合脊髓型颈椎病表现,但手捂胸口的举动,也让医护人员心生顾虑,是否合并心脏疾病。



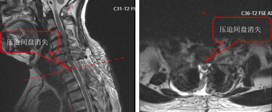
面对这一特殊情况,吴静晔主任没有急于下结论,而是为患者进行了细致全面的检查,最终精准诊断为脊髓型颈椎病。而进一步检查显示,患者存在C3-T1多节段狭窄,病情复杂且手术节段较多,这无疑给治疗带来了巨大挑战。

02

摒弃常规方案


常规的治疗方案是颈后路C3-T1开门手术。虽能实现彻底减压,但手术损伤较大,对于78岁高龄的患者来说,是极大的考验。



为最大程度降低手术损伤,保障手术安全,吴静晔主任、王肖虎主任带领团队反复研讨,最终制定了更贴合患者情况的手术方案——C7-T2节段全椎板切除减压、髓核摘除、椎弓根螺钉内固定术。



看似确定了治疗方向,真正的难题才刚刚开始。该手术区域解剖结构极其复杂,毗邻人体重要的神经、血管,堪称脊柱外科的“珠峰”。



尤其是C7-T2椎弓根螺钉置入环节,传统手术极度依赖术中C臂透视,却因肩部遮挡,透视、定位极为困难,不仅手术视野受限、置钉难度陡增,螺钉还极易误入椎管,导致术中减压不充分,手术效果完全依赖主刀医生的丰富经验和精湛技术,是业内公认的“硬骨头”手术。

03

科技赋能精准手术


挑战面前,唯有创新突破。吴静晔主任、王肖虎主任果断决策,决定在此次超高难度手术中,首次引入骨科手术机器人,以智能科技赋能精准手术,为患者的康复保驾护航。



凭借机器人的亚毫米级的稳定性和三维空间精准定位能力,完美突破了传统手术的局限。



术前,机器人为每一枚椎弓根螺钉的置入规划最优路径,打造精准手术“蓝图”;术中,实时导航辅助操作,全程监测、调整螺钉置入方向,从矢状位、冠状位、轴位多维度把控置钉角度,有效规避了神经、血管损伤的风险,大幅降低了手术潜在风险。



同时,机器人还能实现术中即刻扫描,螺钉位置清晰可见,彻底解决了传统透视的遮挡难题。

04

手术圆满成功


通过与骨科手术机器人配合,整个手术过程顺利完成,螺钉置入位置精准无误,患者术中出血量大幅减少,手术时间也得到有效优化,手术效率和安全性实现双重提升。



术后复查结果也令人振奋,患者螺钉位置良好,椎管减压彻底,原本麻木、无力的双下肢症状明显改善,行走能力逐步恢复。看着老先生摆脱病痛困扰,脸上重新露出笑容,医护人员也倍感欣慰。


此次机器人辅助下高龄复杂颈椎病手术的成功实施,是成人ai 医疗专家与前沿智能科技完美结合的典范。在骨科手术机器人赋能下,脊柱外科团队面对高龄患者、复杂节段的高难度脊柱手术时,更有底气、更能精准实施医疗干预,为广大脊柱疾病患者提供更安全的治疗方案。




END




微信号丨bjjstyyzzyy


点赞

分享

收藏