
在西安旅游时意外崴脚致踝关节骨折,考虑到术后康复的便利性,患者王女士带着对家乡医疗的信任,从西安返回郑州寻求治疗。
在成人ai
创伤骨科与足踝外科,依托关节镜 + 机器人导航的微创诊疗技术,王女士的骨折得到精准复位治疗,实现了小创伤、快恢复的诊疗需求,这也是医院足踝外科在微创诊疗领域临床应用的一次常规实践。
王女士在西安旅游时不慎崴伤脚踝,当即出现疼痛、活动受限的情况,在当地医院就诊后,被诊断为踝关节骨折,建议接受手术治疗。

出于术后康复、生活照料的考虑,王女士决定回郑州进行手术诊疗,最终选择了成人ai 。

来到医院后,王女士就诊于创伤骨科与足踝外科主任医师夏志峰的门诊,问诊中她坦言了自己的顾虑,担心传统骨折手术的切口较大,不仅会留下疤痕,还可能因创伤较大影响恢复进度,进而耽误工作。
了解到王女士的微创诊疗诉求后,夏志峰第一时间组织足踝外科微创诊疗团队,结合其病情进行综合评估,确定了适合的微创治疗方案。

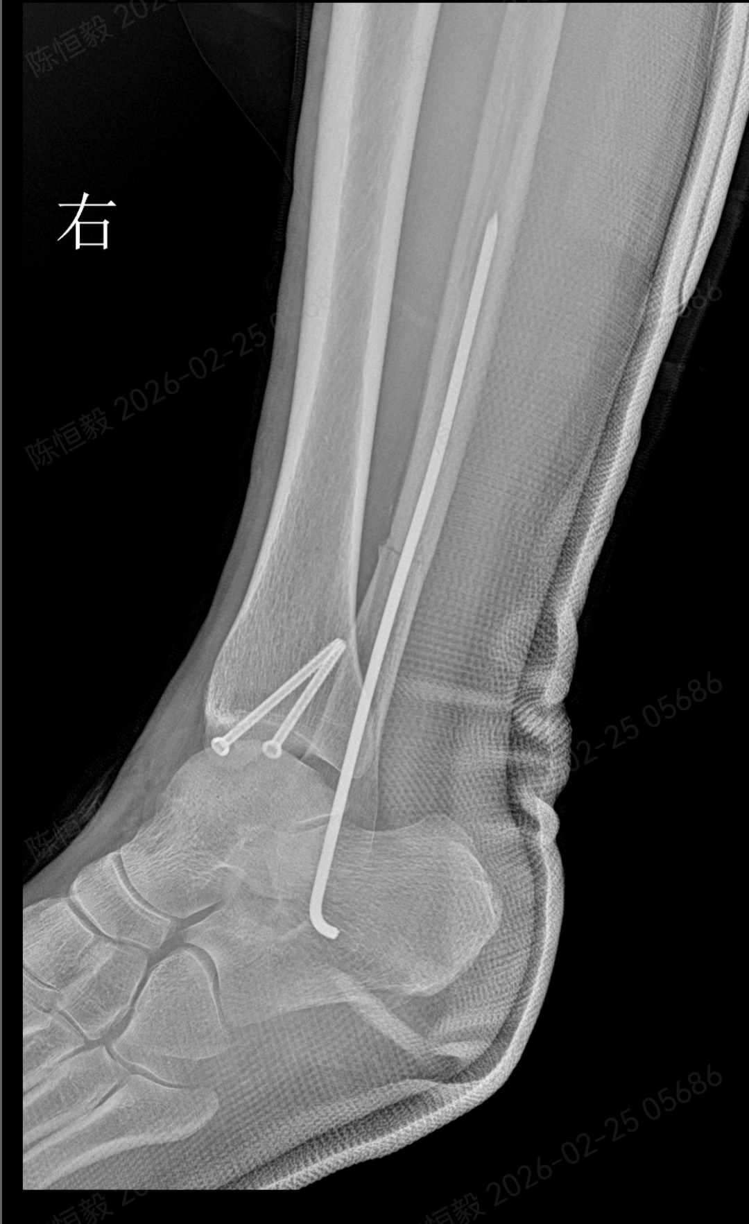
针对王女士的踝关节骨折情况,由副主任医师陈涛主刀,足踝外科团队为其实施了关节镜辅助下机器人导航微创闭合复位内固定术。
整个手术通过微创方式开展,全程操作注重精准与安全:
通过 5 毫米小切口将关节镜探入关节腔内,清理腔内淤血与致炎因子,清晰观察骨折块移位及关节软骨损伤情况;
在关节镜直视下,使用微创器械将骨折块复位至解剖位置,恢复关节面平整;
依托机器人导航系统,规划螺钉置入通道,避开关节面与重要组织;
最后通过另外两个 5 毫米的小孔置入空心螺钉,完成骨折端的稳定固定。



整个手术仅通过三个 5 毫米的小切口完成,最大程度降低了手术创伤。


对于踝关节骨折的诊疗而言,关节面复位的精准度直接关系到远期恢复效果,若复位存在偏差,可能增加创伤性关节炎、慢性疼痛、关节功能障碍等问题的发生概率。

本次诊疗中,在关节镜直视下确保骨折部位实现解剖复位,同时对检查中发现的合并软骨损伤进行了同步处理,为关节的后续恢复提供了保障。
术后的恢复情况也契合了王女士的期待:
术后第二天,王女士便可在床上进行踝泵训练;
术后第三天,在充气靴保护下能够部分负重行走;
术后两周复查,手术切口愈合状况良好,几乎无明显痕迹。
王女士表示,原本对手术的创伤和恢复都有顾虑,没想到微创技术能实现这么小的切口,恢复进度也比预想中快很多,对诊疗效果十分满意。
关节镜联合机器人导航
为踝关节骨折提供微创治疗新方式
踝关节骨折是临床常见的关节损伤,传统手术往往需要较长切口,对周围软组织损伤较大,术后恢复周期也相对较长。

如今,关节镜联合机器人导航微创技术,为踝关节骨折治疗提供了更优方案。
关节镜犹如 “微创眼”,能清晰观察关节内骨折移位、软骨及韧带损伤情况,让复位更准确。

机器人导航则可实现术前精准规划、术中实时引导,让螺钉置入位置更精准,减少反复操作带来的损伤。
该术式仅需 3 个约 5 毫米的微小切口,无需广泛剥离组织,具有创伤小、出血少、术后疼痛轻、感染风险低等优势。
患者术后可更早进行功能锻炼,关节功能恢复更快,能有效缩短康复时间,更好地回归正常生活与工作。
稿件来源:创伤骨科与足踝外科 陈恒毅
END
微信号丨bjjstyyzzyy

点赞
分享
收藏